А. А. Межгихова,
e-mail: anzhanna07@icloud.com
Н. В. Хитрова,
e-mail: ni320m052008@mail.ru
М. Х. Хаджиева,
e-mail: khadzhievamilana7@gmail.com
М. А. Адамян,
студенты, e-mail: maria.adamyan2005@gmail.com
Т. В. Палатова научный руководитель, ассистент, e-mail: meduniv@sgmu.ru,
Саратовский государственный медицинский университет имени В. И. Разумовского, г. Саратов, Россия
Развитие репродуктивных органов, как внутренних, так и внешних, в пренатальный период можно условно разделить на три стадии. Первая стадия характеризуется закладкой недифференцированных гонад, внутренних структур (мюллеровы и вольфовы протоки, синус урогенитальный) и внешних структур (генитальный бугорок, уретральные складки и лабиоскротальные валики). Вторая стадия определяется дифференциацией гонад в мужском или женском направлении. Третья стадия завершает формирование внутренних и внешних половых органов в соответствии с полом [1].
Ключевым фактором дифференцировки половых органов является наличие SRY гена и связанных с ним генов, активация которых меняет баланс между генами, определяющими развитие яичек и яичников, и, следовательно, определяет развитие гонады по мужскому пути [2].
В основе многих НФП лежат генетические аномалии, затрагивающие хромосомы, определяющие пол (X и Y), или аутосомные гены, играющие критическую роль в развитии гонад и путях гормонального синтеза. Синдром Тернера, пример которого – кариотип 45,X0, является результатом отсутствия или частичного отсутствия одной из Х-хромосом у женщин. Это приводит к гонадной дисгенезии, характеризующейся замещением нормальной ткани яичников фиброзными "полосками", лишенными функциональных половых клеток. Клинически это проявляется первичной аменореей, отсутствием развития вторичных половых признаков и бесплодием. Синдром Клайнфельтера, с другой стороны, обычно представлен кариотипом 47,XXY у мужчин, характеризующимся наличием дополнительной Х-хромосомы. Морфологически это проявляется в малых, плотных яичках с гиалинизацией семенных канальцев и дефицитом клеток Лейдига, что приводит к гипогонадизму, гинекомастии и азооспермии. Другие генетические варианты, такие как мутации гена SRY (Sex-determining Region Y), приводят к обратному развитию пола, когда генетические женщины развивают мужские фенотипические черты, а генетические мужчины – женские черты [3].
В соответствии с международными согласованными рекомендациями (Consensus statement on management of intersex disorders, 2006), цитогенетика является основой для классификации нарушений формирования пола (НФП). Классификация НФП ориентирована прежде всего на генетический пол индивида [4].
Цитогенетический анализ позволяет разделить все случаи заболевания на три основные категории, каждая из которых включает в себя отдельные клинические проявления, указывающие на генетическую или морфологическую основу аномалий в развитии половых желез и половых органов:
НФП, связанные с патологиями половых хромосом (гоносомные НФП). Гоносомные варианты НФП возникают из-за количественных или структурных аномалий половых хромосом, а также вследствие гетерокариотипического химеризма 46,XX/46,XY. Это приводит к дисбалансу генов, связанных с X- и Y-хромосомами, что нарушает дифференцировку гонад с формированием дисгенетичной гонады и, следовательно, аномальному развитию наружных и/или внутренних половых органов. К этой группе относят синдромы Шерешевского–Тернера, Клайнфельтера, смешанную или овотестикулярную дисгенезию гонад 45,Х/46,ХY, а также химеризм/овотестикулярную дисгенезию гонад 46,ХХ/46,ХY.
Синдром Свайера, также известный как XY дисгенезия гонад или женская гонадальная дисгенезия XY, представляет собой генетическое отклонение, являющееся одной из форм гипогонадизма и характеризующееся кариотипом 46 XY. При этой патологии наблюдается полная или «чистая» дисфункция тестикул, что приводит к формированию женского фенотипа при наличии мужского генотипа. Это врожденное состояние связано с Y-хромосомой. Хотя синдром Свайера чаще всего связывают с мутациями гена SRY, аналогичный симптомокомплекс (дисгенетичные яички, женские наружные гениталии, наличие матки, кариотип 46 XY) может быть вызван другими генетическими аберрациями, такими как мутации генов WT1, SF1, SOX9, ATRX . Вместо нормально сформированных яичек у этих пациентов обнаруживаются так называемые "гонадные ленты" или тяжи – рудиментарные структуры, состоящие из фиброзной ткани. Эти ленты лишены ключевых клеточных компонентов, необходимых для нормальной репродуктивной функции: герминогенных клеток (предшественников яйцеклеток или сперматозоидов) и клеток Лейдига, продуцирующих тестостерон. Отсутствие герминогенных клеток обуславливает бесплодие, а дефицит клеток Лейдига приводит к недостаточной выработке тестостерона, что имеет далеко идущие последствия для развития половых признаков и общего гормонального фона. Некоторая продукция андрогенов надпочечниками может происходить, но она, как правило, недостаточна для маскулинизации [5].
Дисгенезия гонад является основной причиной риска развития гонадобластомы, так как в ней присутствует "гонадный тяж" (фиброзная ткань), способный к опухолеобразованию.Предрасполагающим фактором является наличие Y-хромосомы и кариотипах 46,XY, 45,X/46,XY
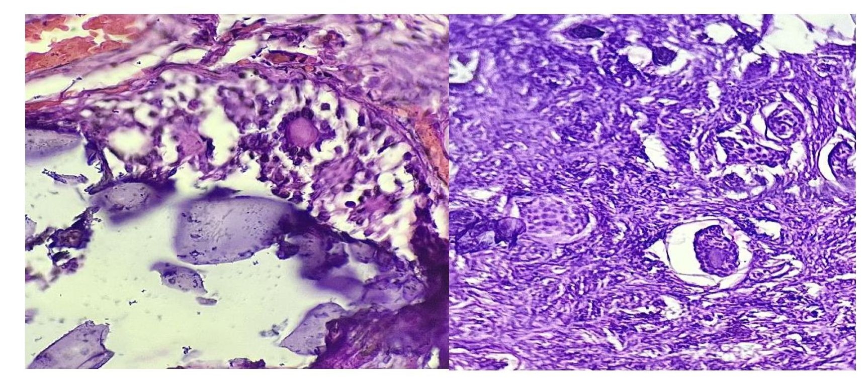
Гистологически гонадобластома представляет собой неинвазивное новообразование, состоящее из округлых островков или гнезд клеток, окруженных вариабельно клеточной стромой. Округлые островки состоят из половых клеток, которые тесно перемешаны с незрелыми производными полового тяжа, обычно окружающими гиалиновые отложения базальной мембраны или, реже, кальцификаты. Половые клетки, присутствующие в отдельных случаях гонадобластомы, гетерогенны и состоят из как зрелых, так и незрелых форм (6). Очень часто гонадобластома претерпевает инволюционные изменения, приводящие к кальцификации . Иногда инволюционные изменения обширны, приводя к образованию кальцифицированной массы без жизнеспособных опухолевых клеток [6]. Это называется инволюционной или «выгоревшей» гонадобластомой (4). Классическая гонадобластома содержит два типа половых клеток: зрелые и незрелые. Зрелые половые клетки экспрессируют TSPY1 (специфический для яичек Y коируемый белок), тогда как незрелые половые клетки экспрессируют OCT4 (маркер недиффиренцированных клеток). Существует небольшая субпопуляция половых клеток, которая коэкспрессирует оба белка (10). Клетки полового тяжа демонстрируют цитоплазматическую экспрессию α-ингибина и ядерную экспрессию стероидогенного фактора 1 (SF1).
Для иммуногистохимического подтверждения гонадобластомы часто используют такие маркеры как PLAP,OCT3/4, CD117.
OCT3/4 – этот маркер экспрессируется в ядрах незрелых половых клеток гонадобластомы и является ключевым диагностическим маркером, указывающим на их плюрипотентную, стволоподобную природу.
CD117 обнаруживается в неопластических герминальных клетках. Его экспрессия помогает дифференцировать гонадобластому от других опухолей гонад.
PLAP (плацентарная щелочная фосфатаза) экспрессируется в гонадоластоме. Выраженная экспрессия PLAP, особенно в сочетании с другими маркерами (OCT3/4, CD117), указывает на повышенный риск развития злокачественных герминогенных опухолей, таких как дисгерминома, которые часто возникают в гонадобластоме.
Описание клинического случая.
Пациентка А., 16 лет, в возрасте 15 лет обратилась по поводу отсутствия менструаций к гинекологу по месту жительства.
Морфологическое исследование: Макроскопическое описание: 1. Левая гонада: маточная труба 3,5 см, гонада 2х1х0,5 см серо-желтого цвета, на разрезе с наличием кальцинатов. 2 Правая гонада: маточная труба 3,5 см, тонкая, гонада 1,5х0,5 см на разрезе серо-желтого цвета.
Микроскопическое описание: № гист 6115. 1 – Левая гонада: в гонаде рост опухоли, состоящей из гнезд округлых крупных клеток со светлой цитоплазмой и мелких клеток с гиперхромными ядрами, отложением гиалина. Большая часть гнезд замещена кальцинатами. Опухолевые клетки экспрессируют OCT 3/4, PLAP, CD117. Маточная труба с фиброзом. 2 - Правая гонада: в гонаде определяется небольшое количество овариальной стромы с единичными примордиальными фолликулами, железистоподобные структуры, которые могут соответствовать сети яичника. Маточная труба с фиброзом.

Рис. 1. Микроскопическая картина левой гонады. Гонадобластома.
Гематоксилин-эозин, ув. 20-40.
Заключение
У пациентов с нарушениями полового развития, особенно при наличии Y-хромосомы, высокий риск развития гонадных герминогенных опухолей. Гонадобластома – часто встречающаяся опухоль у таких пациентов. Лечение включает профилактическую гонадэктомию из-за высокого злокачественного потенциала, а последующее наблюдение имеет решающее значение и часто требует гормональной терапии и психологической поддержки.
Библиографический список
1. Öcal G. Current Concepts in Disorders of Sexual Development // Journal of Clinical Research in Pediatric Endocrinology. – 2011. – Vol. 3, № 3. – P. 105–114. – DOI: 10.4274/jcrpe.v3i3.22.
2. Lee P.A., Ahmed S.F., Houk C.P., Hughes I.A. Consensus Statement on Management of Intersex Disorders // Pediatrics. – 2006. – Vol. 118, № 2. – P. 488-500. – DOI: 10.1542/peds.2006-0738.
3. Di Fiore R., Agius A., Camenzuli C., Suleiman S. Gonadoblastoma: a brief report // Annals of Research in Oncology. – 2022. – Vol. 2, № 1. – P. 70–75. – DOI: 10.48286/aro.2022.36.
4. Газизова Г.Р., Валеева Ф.В., Шайдуллина М.Р., Акбирова Э.И. Синдром Свайера: клинический случай // Медицинский вестник юга России. – 2020. – Т. 11. – №. 3. – С. 65-68. – DOI: 10.21886/2219-8075-2020-11-3-65-68.
5. Верховых Е.В., Гирш Я.В., Калинченко Н.Ю. Клинический случай чистой дискенезии гонад-синдрома Свайера // Вестник СурГу. Медицина. – 2022. – Т. 52. – №. 2. – С. 65-68. – DOI: 10.34822/2304-9448-2022-2-65-68.
5. Адамян Л.В., Коган Е.А., Макиян З.Н., Киселева И.А. Гонадобластома у пациентки с 46,XY дисгенезией гонад // Журнал акушерства и гинекологии. – 2011. – №. 2. – С. 118-120. – EDN PFRQXX.
6. Keskin M., Savaş-Erdeve Ş., Kurnaz E., Çetinkaya S., Karaman A., Apaydın S., Aycan Z. Gonadoblastoma in a patient with 46, XY complete gonadal dysgenesis // The Turkish Journal of Pediatrics. – 2016. – Vol. 58, № 5. – P. 538-540. – DOI: 10.24953/turkjped.2016.05.013.
Уважаемые авторы! Кроме избранных статей в разделе "Избранные публикации" Вы можете ознакомиться с полным архивом публикаций в формате PDF за предыдущие годы.